心包压塞 命悬一线,险!急诊专家床旁超声引导即刻精准“排雷”

患者入院后不久出现紫绀加重、出冷汗、呼吸困难,逐渐神志模糊,心率极快,血压及血氧饱和度下降;查体:P174次/分,R35次/分,BP47/36mmHg,SPO2:65%,神志模糊,口吐白沫,口唇及面部紫绀,双肺呼吸音粗,闻及湿罗音,心音遥远难辨,四肢厥冷。病情的变化已容不得半点迟疑,急诊科主任蒋劲柏决定在床旁彩超引导下对患者实施心包穿刺术,并随时做好呼吸、循环支持手段的抢救准备。
在取得患者及家属知情同意后,蒋劲柏主任和李承璋医师立即在超声定位引导下行心包穿刺术减压,精准地将穿刺针插入心包腔,并通过软管引流积液。短短 10分钟内,成功完成心包穿刺置管术 ,经心包穿刺引出血性液体500毫升后患者呼吸困难缓解,紫绀消失,血氧饱和度升至99%,心率降至95次/分,呼吸降至21次次/分,血压升至148/126mHg,肢端转暖,意识清醒。术后家属的感激之情溢于言表,经数日精心治疗护理后,患者已于近日好转出院。

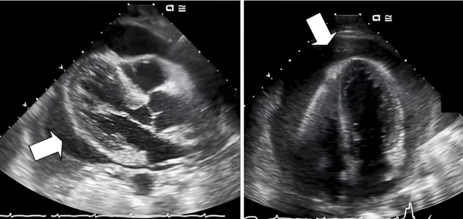
蒋劲柏介绍:心包积液是一种常见病症,可能由炎症、心衰、肿瘤或结核等引起,若不及时治疗,可能严重影响循环功能,甚至导致心包填塞。正常情况下,心包腔内液体量为25-30毫升,超过50毫升即视为异常。中到大量积液可引发心包压塞,一旦发生,患者生命垂危。及时的心包穿刺抽液是挽救生命的关键。

心包穿刺是一种高风险的操作技术,因为心脏时刻在跳动,心包膜与心肌之间是一个狭小的间隙,病人极易在操作中因恶性心律失常、心肌损伤、冠脉及腹腔脏器损伤、气胸等死亡,正所谓“失之毫厘、谬之千里”,其难度较高、风险较大。每遇到高风险的操作,对每一位医生来说犹如一场大考,做还是不做都是一种抉择。贺州广济医院急诊科团队勇于担当,敢于作为,善于作为,为群众的健康提供坚强的“生命护盾”!




